Dr. Usha_Rani, MD @Pychipath
Passion and Love for Pathology ❤❤ New Delhi, India Joined August 2013-
Tweets1K
-
Followers294
-
Following1K
-
Likes2K
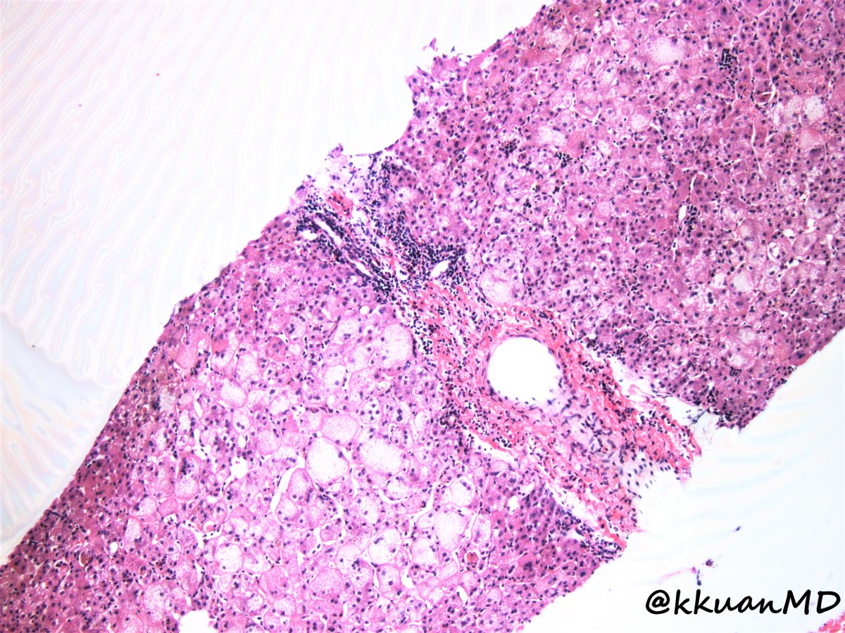
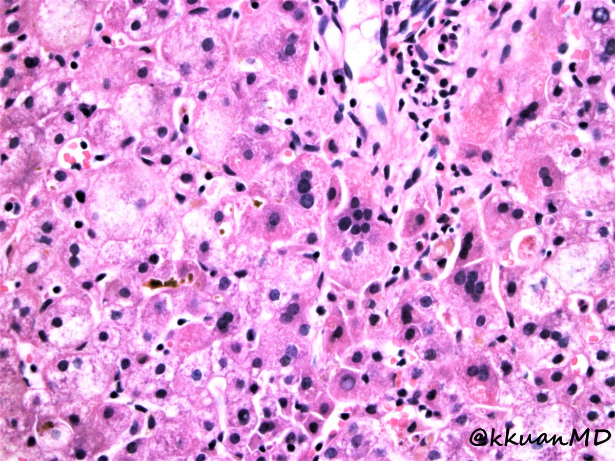
Neonatal Giant Cell Hepatitis. Common causes include cholestatis, metabolic disorder, infection, and syndromic defect like Alagille Syndrome. #liverpath #pedipath #pathboards @yokoda_md @Gagandeepk5MD @DrVish @c_castrodad @Dr_Brian_Cox @ac_pathgal @Purvago
“Honored to reconnect with my mentor, Dr. Aasma Nalwa @AasmaNalwa , who shaped my understanding of renal pathology, and to reunite with fellow students at the AIIMS-Mayo Clinic Update 2024. A wonderful blend of learning, nostalgia, and inspiration! #RenalPathology
“Grateful 🙏 for the opportunity to meet and listen to the renowned @MPAlexanderMD a great renal pathologist. Her insights were truly inspiring and enlightening! #RenalPathology #MedicalInspiration”
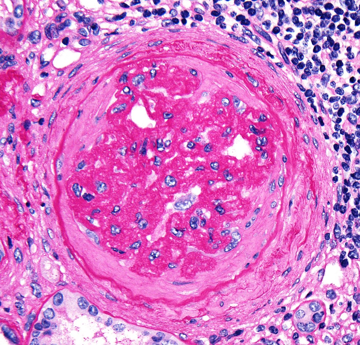
Globally sclerotic glomerulus masquerading as an occluded artery on a deeper section.
Severe crescentic (thick arrow) and necrotizing GN (MPO-GN) in background of diabetic glomerulosclerosis (red arrow). Serology pending at time of biopsy, but subsequently MPO+. 50-yr old with hematuria, proteinuria, AKI & diabetes. Thin arrow-RBC casts, one of my weekend cases
If you're a med student or a doctor, chances are that you've definitely heard of the Tetralogy of Fallot. It is a congenital condition caused by a combination of four heart defects (Image below from Wikipedia). However, this thread is not to teach you about TOF. 🧵 1/?
Giveaway, but enucleation in a pediatric patient #PathTwitter #pedipath #opthopath #pathology
Rhabdomyosarcoma (RMS): Salient histomorphology #BasicFactsForResidents #MakeSurgiPathEasy #RMS
Cholangiocarcinoma (CCA) Types, precursors, morphology, salient points #MakeSurgiPathEasy #BasicFactsForResidents #Cholangiocarcinoma
Weekend #hemepath review! Quick review flowcharts for MDS, MPN and Plasma cell neoplasms. #PathTwitter #PathEducation
Cute little chorangioma! #NYUpathologgy #pathology #placenta #MedEd
Remember that the Universe can do all things for you, with you and through you.
I (finally) completed my CNS tumor notes for "Kurt's Notes" (kurtsnotes.net)! 🧠🧠🧠🧠🧠🧠🧠🧠🧠🧠 Full notes here: schaberg.faculty.ucdavis.edu/wp-content/upl… 🧠🧠🧠🧠🧠🧠🧠🧠🧠🧠
I finished my notes on Non-neoplastic Bone and Joint Lesions for my teaching website, "Kurt's Notes" (kurtsnotes.net) 🦴🦴🦴🦴🦴🦴🦴🦴🦴🦴🦴🦴🦴 Full notes here: schaberg.faculty.ucdavis.edu/wp-content/upl…
Is there a Uterine myxoid smooth muscle tumor under your microscope? Save this !!! #gynpath #pathology
Joy and happiness are mental events and, according to our day to day experience, mental satisfaction is superior to physical pleasure. We need material development, but it’s a mistake to depend on material things alone to find happiness. We also need to be warm-hearted.
We all can learn from Indian Academy of Cytologists how to throw a party @cytocon2020 @cytopathology

Jerad Gardner, MD @JMGardnerMD
51K Followers 15K Following Dermpath/Sarcoma Pathologist @GeisingerPath. Co-founder @Kiko4docs. Deputy Editor @ArchivesPath. TEDx Speaker. Book Author: Survival Guide to Dermatopathology.
Kamran Mirza MD PhD -... @KMirza
27K Followers 10K Following Godfrey D. Stobbe Professor of #Pathology | Assistant Chair for Education | @UMichPath @UMichMedicine @umichmedschool 〽️ | #Hemepath | Views Mine
Dr. Luca @atman_ci
6K Followers 2K Following Young, Enthusiastic Practicing NextGen Pathologist from Italy, Molise! Love Sci-Fi, Oriental Mind, India, Kraut Rock, Tennis, Biology, Travel, Cultural Exchange
syed t. hoda @01sth02
21K Followers 6K Following fog & lime / clinical professor / director bone & soft tissue + digital pathology / NYU langone / M.D. / wanderer.
Gerônimo Jr. @GeronimoJrLapac
21K Followers 10K Following President of the Brazilian Society of Pathology Surgical Pathologist - Lapac Lab - 🔬Interested in GIPath Teresina - Brazil 🇧🇷
A. Polónia @PoloniaAntonio
3K Followers 2K Following Pathologist (MD PhD) at Ipatimup / Invited Associate Professor at EMCB-UFP #breastpath
Leon Metlay @leon_metlay
8K Followers 6K Following Pediatric & autopsy pathologist at University of Rochester. My only advice: don't be my patient.
Laura J. Tafe, MD @LJTafeMD
6K Followers 2K Following Molecular, thoracic and GYN Pathologist. Artist. Lover of mountains and big sky. Motion & subtraction. Opinions are my own. (she/her) #ljtanalogcollage
Jared T. Ahrendsen MD... @JaredAhrendsen
9K Followers 5K Following Neuropathologist, Residency Program Director @NU_Pathology | Assistant Professor of #Pathology @NUFeinbergMed | #neuropath 🧠🔬
Brian Cox, MD, MAS @Dr_Brian_Cox
11K Followers 3K Following GI/Liver Pathologist @SharpHealthcare | Director of Research at Pacific Rim Pathology | Central Reader: MASH, IBD | Dad, Husband, Surfer, Statistics guy.
rajEndiran @rdpatho
2K Followers 1K Following Visiting Prof. Of Pathology, Sri Ramachandra Institute Of Higher Education & Research
Pathology Walker@Auto... @Patholwalker
13K Followers 3K Following Twting Pathology, Histology&Endoscopy, sometimes Mushroom. My pics are All CR Free with quoting source as conditions. Please use the pics as much as you'd like.
Michael Williams M.D ... @bluehatcomics85
4K Followers 4K Following Pathologist |Neuropath @UABPathology 21'-23’| Forensics 23'-24' @uabpathology| Podcaster @diversifyinPath | Training @sunyupstatepath
Tania Labiano @tlabiano
6K Followers 3K Following MD, MIAC. #Pathologist 🔬💟 IAC Communication Committee. #Cytopath #BreastPath #Pulmpath 🫁 at Hospital Universitario de Navarra|Pamplona|Spain.
Kenny De Gracia T. @Kenny92954457
3K Followers 4K Following Médico Especialista en Patología. Máster en Patología Renal. Especialista en Anatomía y Embriología Humana. Panamá
Randall Brink @randallbrink
3K Followers 4K Following I am the author Randall Brink. Constitutional Law Analyst and Commentator. Political Scientist. Former Airline CEO and Captain. 🛫 No DMs🚫 (I do not respond)
Noha Said Helal @NSaidHelal
442 Followers 2K Following Pathologist, MD, with an interest in GIT path #GIpath #liverpath, uropathology #GUpath #prostatepath and nephropathology #nephropath #renalpath
Lorraine @t_lorraine58
276 Followers 3K Following
Mira Magdy @mira_magdy1
355 Followers 959 Following
gajendra @gajendr96536545
17 Followers 385 Following
Nephrology Journal @NephrologyJourn
2K Followers 4K Following The journal publishes reviews and papers of international interest describing original research concerned with clinical and experimental aspects of nephrology.
Dr. Usha Rani @dr_usharani_MD
12 Followers 65 Following MD(MAMC), DNB, PDF-Renal Pathology (AIIMS J) Assistant Professor, PT. BD SharmaPGIMS Rohtak
Greg Charville @Greg_Charville
3K Followers 2K Following Surgical pathologist @stanfordpath | Sarcoma and GI-Liver pathology
Jay "Thymocyte" Hwang @Path4People
5K Followers 2K Following Pathologist 🔬. Co-creator of YouTube’s Pathagonia with @biehlcole. Views = My Own, not my Organization’s. Check us out😃! https://t.co/qC4da8aMpY
Indian Society of Ren... @IndianRenal
1K Followers 243 Following Official X handle of Indian Society of Renal & Transplantation Pathology (ISRTP)
DJ Spidee @SpideeDj
204 Followers 1K Following 🎧 Intl DJ | 20+ Yrs Slayin' Sets 🔥 DnB & House Specialist 💣 Billed w/ Nicky B, Dillinja, Hazard, DBR, AMC 💼 Vibe Curator | Bassline Assassin
Arjunlal verma @arjunlal_v77680
2 Followers 86 Following
Cancer Diagnostics @CancerCDI
65 Followers 136 Following Founded in 1998, CDI offers one of the industry’s largest portfolio of anatomic pathology products to over 3500 customers in more than 35 countries.
Vivek Chaudhari @chaudhari_80144
20 Followers 164 Following Matched 2024 Applicant | Incoming PGY1| Graduate 2022 |
Mai Elzieny @MaiElzieny
3K Followers 2K Following Surgical pathology fellow @UCLA. Forever learner. Opinions my own.
rahul jadhav @rahuljadhav1986
383 Followers 4K Following
Kavitha Pai @KavithaPai1
320 Followers 374 Following Hands on mum at home/Consultant Histopathologist in the NHS (all tweets personal} . #PathTwitter #pathologist #gipath #breastpath
Nora Hamdy @NoraHamdy123
674 Followers 5K Following teaching assistant at pathology department Azhar university new damietta
Kaushik Dasgupta @DrKdasgupta
2K Followers 5K Following I am a dermatopathologist and general surgical pathologist T/RT are personal opinions and do not reflect the views of my employers or organisations
Deepali Jain @djaiims
778 Followers 608 Following Professor Pathology, AIIMS New Delhi, India Special interest areas: Cytopathology, Thoracic Pathology, Lung cancer, Sinonasal cancer
Anurag Khanna @AKhannaMBBS
488 Followers 746 Following #HemePath fellow @EmoryPathology | T/RT are not medical advice
Dr.Rajesh Soni @DrRajeshSoni19
1K Followers 6K Following https://t.co/yniQ2zyoai(hospital management). *medical officer Govt. *Corona yodha* *मां मेरी दुनिया आपके आंचल मैं*
Montemor Netto @montemornetto
894 Followers 5K Following Pathologist Professor Pathology School of Medicine (https://t.co/vOfnOXjqzT) https://t.co/BTpWyDB1ky
Nada Alachkar @NadaAlachkar
1K Followers 1K Following Mom,wife,Transplant Nephrologist @hopkinsmedicine @hopkinsneph,Faculty @JohnsHopkins.Author:A GIRL FROM THE MIDDLE EAST.tweets are my own
Sami Alasfar, MD, MPH... @SamiAlasfar
2K Followers 2K Following Transplant Neph | Medical Director | DD Kidney Transplant | Associate Professor @MayoClinic AZ. Alum @TempleIM @HopkinsNeph @JohnsHopkinsSPH #ConflictNephrology
John Brealey @JohnBrealey
1K Followers 1K Following Senior Medical Scientist, Electron Microscopy Unit, SA Pathology, Adelaide, Australia. Ultrastructural pathology of kidney, muscle, nerve, liver, tumours, etc.
Dr Reena Tomar @DrReenaTomar2
148 Followers 249 Following #Histopathology , #breastpath, #Gynepath #Cytopathology #Meditator #CreativeThinker #Rajyoga #Meditation #Traveller #Animallover
Mark Henry @MarkHen93677212
190 Followers 792 Following My name is Mark Henry I'm living in United Kingdom 🇬🇧 am single search for true love not someone who will break my heart 💞
Crayon @Brian_952
7 Followers 132 Following
GWPathology @GWPathology
2K Followers 2K Following Updates and more from The George Washington University Pathology Community. Tweets are not medical advice/ official department opinions.
屋敷 雄輝 @badbrainstrains
1K Followers 2K Following MGP Fellow at the University of Colorado, Board-certified Neuropathologist
Catalin Taraboanta, M... @CTaraboantaMD
1K Followers 861 Following Anatomical #Pathologist / Consultante pathologiste; @aluminiubc from @ubcpathology; Outdoor enthusiast / j'adore la nature.
Víctor Vivó Serrano @vicvise2
1K Followers 3K Following Only #PathTwitter 🤟🤓🔬 Spanish #SurgicalPathologist 🇪🇦 🧡 = cool case, nice photo 🔁 = interesting. I will save this just in case. I wish i remember this wh
Pathologists Online @PathologxOnline
840 Followers 2K Following ENG/ESP. Clinical cases, lectures and bibliographic reviews in surgical pathology. Share at [email protected] and get your @SEAP_IAP certificate
Deepa Iyer Kotari (De... @DeepaIyerKotari
665 Followers 983 Following Pathologist, Lab Director, IN , Certified-Public health-GCLP-ME; Certified IA-QMS, Author-Editor @ AceMyPath,MBA-UWA, HCM-ISB, AMP- IIM.K
Jerad Gardner, MD @JMGardnerMD
51K Followers 15K Following Dermpath/Sarcoma Pathologist @GeisingerPath. Co-founder @Kiko4docs. Deputy Editor @ArchivesPath. TEDx Speaker. Book Author: Survival Guide to Dermatopathology.
Elizabeth Montgomery,... @LizMontgomeryMD
21K Followers 142 Following Gastrointestinal & soft tissue pathologist. Professor of Pathology at University of Miami. Founder of @science_press
Vikram Deshpande @Vik_deshpandeMD
15K Followers 768 Following Professor, Harvard Medical School, Interim Chair of Pathology BIDMC. Editor-in-Chief, Journal of Clinical Pathology @JClinPath_BMJ
Syed Z. Ali @sza_jhcyto
20K Followers 9 Following Director of Cytopathology at Johns Hopkins. President, International Academy of Cytology @IACytology, Past-President, American Society of Cytopathology (ASC)
Pembe Oltulu, MD @pembeoltulu
13K Followers 2K Following Pathologist (Professor), Meram Faculty of Medicine, Konya/Turkey; I lv #hemepath, #dermpath 💗Married and have 4 children, RT/Tw are not medical advice
Olaleke Folaranmi @DrGeeONE
15K Followers 2K Following General Surgical Pathologist🔬#Dermpath #PlacentalPath #PathTwitter | Recording Guitarist https://t.co/oueyN649QZ
Craig Horbinski @CraigHorbinski
13K Followers 3K Following Chair of the Department of Laboratory Medicine and Pathology at Mayo Clinic Florida. My #NIH-funded laboratory studies #glioma and #meningioma.
Kamran Mirza MD PhD -... @KMirza
27K Followers 10K Following Godfrey D. Stobbe Professor of #Pathology | Assistant Chair for Education | @UMichPath @UMichMedicine @umichmedschool 〽️ | #Hemepath | Views Mine
Raul S. Gonzalez, MD @RaulSGonzalezMD
14K Followers 120 Following GI Path & AP Research Director, Professor @EmoryPathology. Chair @Pathologists Surg Path Cmte. North Am Regional Editor @Histo_Journal. Vice President @usgips.
Pepe Jiménez Heffern... @pepeheffernan
11K Followers 5K Following Pathologist with experience in Cytopathology. Universidad Autónoma, Madrid. Views my own.
Mark Ong @DrMarkOng
6K Followers 421 Following Consultant Histopathologist based in England, UK. T and RT not medical advice. Opinions my own. Nisi dominus frustra.
Padma Priya J @padmapathology1
6K Followers 2K Following Pathologist #GIpath #Dermpath #neuropath #GYNpath
Ankur Sangoi @slusagar
16K Followers 761 Following #GUpath Clinical Professor of🔬Pathology. Stay ready, so you don’t have to get ready!
Dr. Luca @atman_ci
6K Followers 2K Following Young, Enthusiastic Practicing NextGen Pathologist from Italy, Molise! Love Sci-Fi, Oriental Mind, India, Kraut Rock, Tennis, Biology, Travel, Cultural Exchange
Tristan Rutland MBBS ... @TristanRutland7
19K Followers 6K Following Pathologist & educator. @RCPA Outstanding Teaching Award 2020 & @Pathologists CAP resident advocate award 2022. Associate social media editor @Pathology_RCPA.
Xiaoyin "Sara" Jiang,... @Sara_Jiang
21K Followers 3K Following Physician,Pathologist, Foodie| #SoMe& #MedEd Enthusiast | #EndoPath #ENTPath #CytoPath #Thyroid | #FNAFriday creator | Tweets my own
syed t. hoda @01sth02
21K Followers 6K Following fog & lime / clinical professor / director bone & soft tissue + digital pathology / NYU langone / M.D. / wanderer.
Gerônimo Jr. @GeronimoJrLapac
21K Followers 10K Following President of the Brazilian Society of Pathology Surgical Pathologist - Lapac Lab - 🔬Interested in GIPath Teresina - Brazil 🇧🇷
Kenny De Gracia T. @Kenny92954457
3K Followers 4K Following Médico Especialista en Patología. Máster en Patología Renal. Especialista en Anatomía y Embriología Humana. Panamá
UpSkillYourLife @UpSkillYourLife
1.0M Followers 83 Following Create yourself and stop living on autopilot.
Peter Kobalka @PeterKobalka
599 Followers 292 Following Pathologist, teacher. Training and interests in neuropathology, cytopathology, thoracic, and general surgical pathology
Best of Philosophy @BotPhilosophyQ
377K Followers 62 Following Timeless Thoughts of Philosophers | Tips to Master Everyday Life | Follow and Get Inspired Daily
Anatomía Patológica... @HULPazPatologia
2K Followers 529 Following Cuenta del Servicio de Anatomía Patológica del Hospital Universitario La Paz. #Pathology #AnatomíaPatológica 🔬🧬
CKJ @CKJsocial
15K Followers 4 Following Clinical Kidney Journal, an online open access journal of @ERAkidney published monthly by OUP. Tweets by @vinckcaro, @DocL_Floyd, @JasmineNephro, @PWoywodt,
Roman Brudnik @brudpath
577 Followers 820 Following Assistant Professor @UAMS. Tweets are my own, not medical advice. #BSTpath #cytopath #ENTpath #SaveSoil let's make it happen! @cpsavesoil
Wise Chimp @wise_chimp
672K Followers 49 Following Follow For Daily Quotes.Psychology Tricks for a Better Life: Habit Mastery | Better Decisions | Financial Freedom. DM is open for any questions.
Super Thinking @Super_Thinkiing
190K Followers 17 Following Get smarter. Books | Philosophy | Psychology | Inspiration | Productivity
Perfect Guidance 🧭 @PerfectGuide_
604K Followers 130 Following Guiding you to a better life. Find Health. Find Wealth. Find Motivation. DM for growth.
LIMITLESS MIND @limitlessmindon
439K Followers 29 Following Insights to help individuals learn from life lessons to adopt a limitless philosophy.
Art of Life 🦋 @Art0fLife_
1.0M Followers 552 Following Insights to help you grow mentally, physically, emotionally, and spiritually.
Inspirational Quotes @SeffSaid
2.1M Followers 0 Following Quotes to help you feel better, stay strong, and keep going. Subscribe to my newsletter for regular inspiration to guide you through life’s ups and downs.
Wealth Inc @WealthInc247
639K Followers 284 Following Life Philosophy • Get Inspired • Psychology • Practice Mindfulness • Positivity • Level-up Your Mindset • Attract Wealth • Change Your Life
Khadijah Bagazi , MS ... @dojaomer
354 Followers 359 Following Faculty member @KAU_FD | Diplomate American Board of Oral and Maxillofacial Pathology 🇺🇸| @UBuffalo alumni | @UF alumni
Dr Reena Tomar @DrReenaTomar2
148 Followers 249 Following #Histopathology , #breastpath, #Gynepath #Cytopathology #Meditator #CreativeThinker #Rajyoga #Meditation #Traveller #Animallover
KDIGO @goKDIGO
38K Followers 1K Following KDIGO is a global non-profit foundation dedicated to improving the care and outcomes of people with kidney disease worldwide.
Dr. Usha Rani @dr_usharani_MD
12 Followers 65 Following MD(MAMC), DNB, PDF-Renal Pathology (AIIMS J) Assistant Professor, PT. BD SharmaPGIMS Rohtak
Greg Charville @Greg_Charville
3K Followers 2K Following Surgical pathologist @stanfordpath | Sarcoma and GI-Liver pathology
Kidney Kolumns @KidneyKolumns
720 Followers 67 Following The official newsletter of the Indian Society of Nephrology @isn_india
Juan Manuel Mejía @Meyaix
3K Followers 158 Following Nephrologist & Clinical Researcher in Glomerular Diseases and special interest in Lupus Nephritis
NDT @NDTsocial
18K Followers 6 Following Nephrology Dialysis Transplantation (NDT) is the leading nephrology journal in Europe. NDT is an official journal of @ERAkidney. Published by @OxfordJournals
Norris Hollie, MD, Ph... @hemepathiseasy
220 Followers 152 Following Hematopathologist | Asst Prof&Fellowship Dir @OhioState | Hemato/#Pathology trained @BIDMCPath @harvardmed | Views=own. Follow for #hemepath pearls.
Jay "Thymocyte" Hwang @Path4People
5K Followers 2K Following Pathologist 🔬. Co-creator of YouTube’s Pathagonia with @biehlcole. Views = My Own, not my Organization’s. Check us out😃! https://t.co/qC4da8aMpY
Sneha Datwani @DrSnehadatwani
64 Followers 87 Following PGY-2 Pathology, The Ohio State University, Dancer, baker 'Wherever you are; and whatever you do, be the soul of that place '
Tim @timthoughtleadr
86K Followers 842 Following Co-Founder @ThoughtleaderHQ. Multiplying founders' revenue, investment & visibility with content + outbound. 3B+ views, millions generated for 150+ clients
Alex & Books 📚 @AlexAndBooks_
349K Followers 469 Following 📖 Helping people find amazing books & develop a reading habit. 📧 Get my list of 100 life-changing books (link in bio).
Jennifer Boland, MD @JenniferBoland7
2K Followers 96 Following Mother, Wife, Pulmonary pathologist at Mayo Clinic @MayoClinicPath | T/RT not medical advice | #mayopath
antonella barreca @Barreca_A81
571 Followers 569 Following Renal pathologist. Interest in Nephropathology, electron microscopy and amyloidosis
Shree Sharma @nephrosharma
1K Followers 186 Following Kidney Pathologist, Arkana Laboratories. Tweets are my own, not medical advice.
Astrid Weins @AstridWeins
2K Followers 203 Following Renal Pathologist, Podocyte Scientist, Mom - not necessarily in this order Tweets are my own.
Loren Herrera MD @Justaglomerular
1K Followers 104 Following Mayo Clinic Rochester- Medico-renal and urological pathologist.
George Terinte-Balcan @george_terinte
323 Followers 709 Following Nephro/hematopathologist at the Necker Hospital in Paris 🇨🇵 Former Nephropathology Fellow at the University of North Carolina at Chapel Hill 🇺🇲
Grace Choung, MD 박�... @grace_choung
740 Followers 317 Following Renal pathologist @CedarsSinai #renalpath #kidneydisease opinions are my own https://t.co/vkOgdAdxu8
Charlie Herndon @DrCycloPath
7K Followers 740 Following My education site https://t.co/9SV87NkfSc PGY1 @UCSFPath All views are my own #CytoPath #PediPath #BSTPath #PathTwitter #Pathology
Narayan Prasad @Narayansgpgims
2K Followers 388 Following Prof and HOD, Nephrology SGPGIMS, Lucknow. Councilor, Int soc Nephrology
AIIMS, New Delhi 🇮... @aiims_newdelhi
112K Followers 14 Following Official handle of AIIMS New Delhi for health updates, medical breakthroughs, and expert guidance. शरीरमाद्यं खलु धर्मसाधनम्
Indian Society of Nep... @isn_india
4K Followers 311 Following The Indian Society of Nephrology was born when 10 like-minded and strong-willed individuals sat together on a balmy day in Mumbai (then Bombay) in 1970.
Dr Seethalekshmy N V @drseethalekshmy
44 Followers 117 Following
Dr Geetika Singh @DrGeetikaSingh1
1K Followers 290 Following Renal and Transplant Pathologist. Mom of 2. Life long learner
Pallav Gupta Renal Pa... @pallavkmc1
209 Followers 71 Following Interests Renal Path tx infection wrote"Pathology of Glomerular dis." Pathology of opportunistic infection Atlas Springer Dream Plan Execute ❤ to make friends
Indian society Organ ... @IndiaSoTx
2K Followers 161 Following Non-profit society to promote the ethical science of organ transplantation in India, develop and exchange scientific knowledge.
Alok Sharma @draalok
1K Followers 937 Following Director, Renal Pathology & Electron Microscopy at Dr Lal PathLabs Ltd. Secretary, Indian Society of Renal and Transplantation Pathology Views are my own...
Ritambhra Nada @RitambhraN
1K Followers 424 Following Prof Histopathology PGIMER,MBBS IGMC SHIMLA , MD PGIMER Chandigarh , Nephropathology fellowship University of North Carolina,FICP
Indian Society of Ren... @IndianRenal
1K Followers 243 Following Official X handle of Indian Society of Renal & Transplantation Pathology (ISRTP)